Salud
Principales causas y características de las hemorragias digestivas
Se entiende por hemorragia digestiva a toda pérdida de sangre que sea causada por lesiones que afecten al tracto digestivo, es decir el esófago, estómago, intestino delgado, intestino grueso y el año. En cualquier zona...
Fórmulas para frenar los vómitos
Los vómitos o el vaciamiento brusco del estómago por la vía bucal pueden ser causados por diferentes dolencias y enfermedades. Los vómitos duran por lo general sólo uno o dos días, si se exceden por más de dos días...
Cambios en la detección de la hepatitis C podrían salvar vidas.
Según un nuevo estudio, escaneos de primer nivel de atención para la hepatitis C en personas nacidas entre 1945 y 1965 parece ser económico y eficaz para salvar vidas. Este tipo de escaneo podría identificar más de 800...
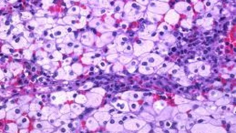
Alteraciones congénitas del catabolismo de lípidos complejos
Existe un grupo de enfermedades hereditarias caracterizadas por trastornos metabólicos resultantes en acumulación de lípidos complejos en diversos tejidos. En general, se manifiestan desde la niñez y afectan seriamente...
Beneficios e inconvenientes de la carne de cordero.
Ultimamente es muy habitual encontrar en los menús diarios algún plato de carne de cordero. Hoy, nos centrarnos en este aspecto alimenticio y por ello, destacaremos los aspectos más generales de la carne de cordero y te...
El tabaquismo y la Argentina
El tabaquismo y la Argentina Pérdidas multimillonarias ocasionadas por el tabaco. En la Argentina mueren 40 mil personas al año. Especialistas argentinos y del exterior alertan sobre las multimillonarias pérdidas...